БОЛЬШОЙ МЕДИЦИНСКИЙ СПРАВОЧНИК

 




ГЛАВА 74. НЕИНВАЗИВНЫЕ ВИЗУАЛИЗИРУЮЩИЕ ИССЛЕДОВАНИЯ ЖЕЛУДОЧНО-КИШЕЧНОГО ТРАКТА: УЛЬТРАЗВУКОВОЕ СКАНИРОВАНИЕ, КОМПЬЮТЕРНАЯ ТОМОГРАФИЯ, МАГНИТНО-РЕЗОНАНСНАЯ ТОМОГРАФИЯ

1. Каково сегментарное строение печени?

Раньше анатомы считали, что печень состоит из четырех долей. Эти четыре доли выделялись на основании анатомических ориентиров, расположенных на поверхности печени. В более позднее время печень была условно разделена на сегменты, каждый из которых имеет особое кровоснабжение, причем первостепенное значение имеет анатомия печеночных вен (см. рисунок). Сегменты печени отделены друг от друга меж-сегментарными прослойками соединительной ткани, которые располагаются в той же плоскости, что и печеночные вены, или пересекаются этими венами. Правая и левая доли печени разделяются главной междолевой бороздой. Эта борозда проходит от углубления желчного пузыря до нижней полой вены; в верхних отделах печени междолевая борозда соответствует средней печеночной вене. Передний и задний сегменты правой доли печени разделяются правой межсегментарной бороздой. Эта борозда соответствует правой печеночной вене.
Левая межсегментарная борозда разделяет левую долю печени на медиальный и латеральный сегменты. На наружной поверхности печени эта борозда отмечена серповидной связкой, а внутри — круглой связкой печени. В верхних отделах печени левой межсегментарной борозде соответствует левая печеночная вена. Хвостатая доля печени расположена между нижней полой веной и бороздой венозной связки (ligamentum venosum).

074-1.jpg
074-2.jpg

На компьютерных томограммах четко видна сосудистая анатомия печени. А. Правая печеночная вена (черная стрелка) разделяет правую долю печени на передний и задний сегменты. Средняя печеночная вена (большая незаштрихованная стрелка) отделяет правую долю печени от левой. Левая печеночная вена ("наконечник" стрелки) разделяет медиальный и латеральный сегменты левой доли печени. В. Серповидная связка (белая стрелка) разделяет медиальный и латеральный сегменты левой доли печени. Хвостатая доля печени помечена маленькой стрелкой

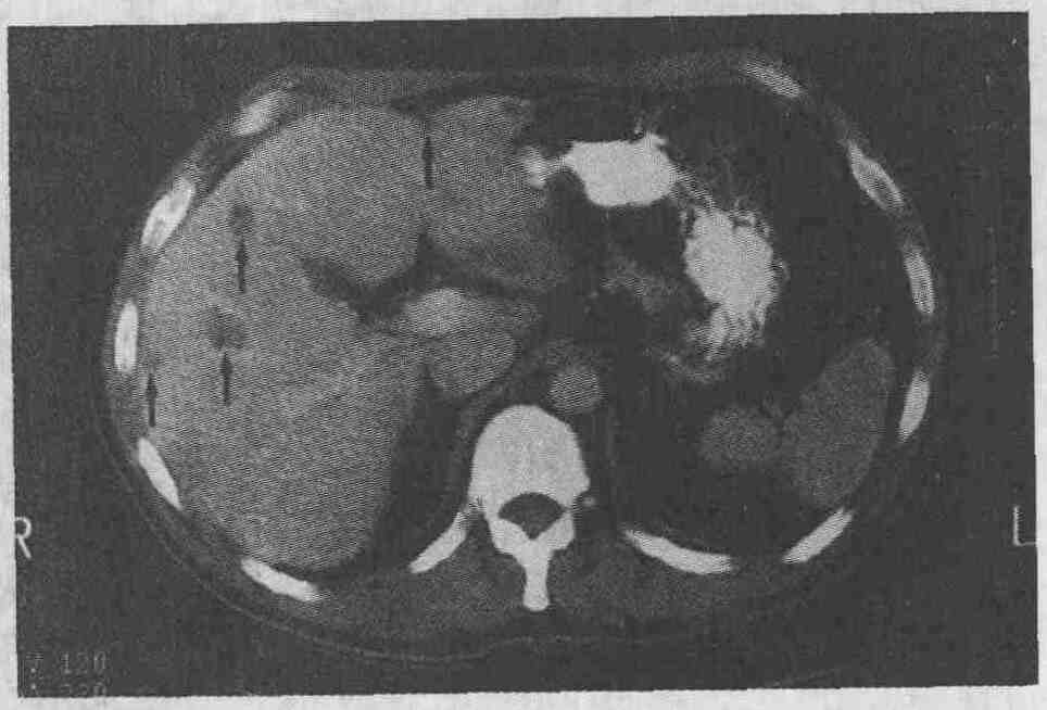
2. Назовите типичные признаки метастатического поражения печени, выявляемые при визуализирующих исследованиях.

На компьютерных томограммах в большинстве случаев метастатические поражения печени выглядят как участки, имеющие меньшую плотность, чем окружающая паренхима (см. рисунок); однако метастазы рака островковых клеток поджелудочной железы, почечно-клеточной карциномы, карциноидных опухолей, рака щитовидной железы могут выглядеть более плотными.

074-3.jpg

Метастазы печени (стрелки) у пациента с раком ободочной кишки имеют меньшую плотность по сравнению с плотностью неизмененной паренхимы печени

3. Каким образом особенности кровоснабжения печени позволяют выявлять метастатические поражения печени при проведении компьютерной томографии?

Метастазы в печени кровоснабжаются ветвями печеночной артерии, и их обнаружение основывается на выявлении участков со сниженным кровоснабжением. Кровоснабжение паренхимы печени осуществляется на 75 % за счет воротной вены и на 25 % — за счет печеночной артерии. После введения контрастного вещества в периферическую вену органы, в которые поступает только артериальная кровь (например, селезенка, почки), контрастируются достаточно ярко, а печень при этом контрастируется плохо, потому что контрастное вещество, поступающее из печеночной артерии, разводится кровью, приносимой воротной веной. Только после того, как контрастное вещество будет выведено из селезенки и кишечника и достигнет воротной вены, оно сконцентрируется преимущественно в печени, в результате чего печень станет достаточно хорошо контрастироваться. Это происходит через 60 с после введения рентгеноконтрастного вещества; селезенка и почки контрастируются на 30 с раньше. Компьютерную томографию наиболее целесообразно выполнять во время так называемой портальной фазы исследования, когда контрастное вещество находится в воротной вене, так как именно в этот момент различие между рентгеноплотностью неизмененной паренхимы печени и более низкой рентгеноплотностью метастазов наиболее сильно выражено.
Для усиления контрастирования печени без усиления контрастирования метастазов во многих медицинских центрах при проведении компьютерной томографии применяется введение контрастного вещества через катетер, установленный в верхней брыжеечной артерии. Компьютерная артериальная портография (так называется этот метод) увеличивает чувствительность КТ при выявлении метастатических поражений печени до 91 %, тогда как чувствительность стандартной компьютерной томографии с применением рентгеноконтрастных веществ не превышает 63-71 %. Более четкое контрастирование печени позволяет установить, в каком именно из ее сегментов локализуются метастазы. Возможность точного установления локализации патологических очагов и высокая чувствительность метода имеют особенно большое значение в тех случаях, когда планируется выполнение резекции печени у пациентов с метастазами в печень рака толстой кишки; точное установление локализации метастазов позволяет производить резекцию в оптимальном объеме. Другие варианты компьютерной томографии, такие как КТ с отсроченным контрастированием, неконтрастная КТ и КТ с введением контрастного вещества в печеночную артерию с помощью установленного в ней катетера, по результатам клинических исследований, являются менее информативными, чем компьютерная артериальная портография. Примерно в 5 % случаев в метастазах содержатся соли кальция. Это характерно в основном для метастазов аденокарциномы яичника и опухолей желудочно-кишечного тракта. Кистозные метастатические поражения печени могут возникать вследствие некроза метастазов опухолей поджелудочной железы и яичников, а также вследствие некроза метастазов плоскоклеточного рака. При ультразвуковом исследовании (УЗИ) метастазы могут выглядеть по-разному. Метастазы рака ободочной кишки и многих других опухолей обычно являются гипер-эхогенными, хотя гипоэхогенные метастазы тоже встречаются довольно часто (как правило, это метастазы лимфомы, кистозные или некротизированные метастазы). Гипоэхогенный ободок, образующийся вследствие отека окружающих гиперэхогенный метастаз тканей, приводит к возникновению характерной картины "бычьего глаза". Чувствительность ультразвукового сканирования при выявлении метастазов в печени составляет примерно 61 %; однако при выполнении интраоперационного ультразвукового сканирования чувствительность метода увеличивается до 96 %, что является наилучшим показателем по сравнению с аналогичными показателями всех других визуализирующих методов исследования.
В настоящее время продолжаются исследования, проводящиеся с целью выяснения диагностической ценности различных модификаций магнитно-резонансной томографии (МРТ) при выявлении метастатических поражений печени; серьезной проблемой является наличие большого количества артефактов, возникающих при совершении пациентами дыхательных движений. Чувствительность МРТ ниже, чем чувствительность контрастной КТ. В большинстве случаев при МРТ визуализируются характеризующиеся слабой интенсивностью сигнала метастазы в режиме Т1 и характеризующиеся повышенной интенсивностью сигнала метастазы в режиме Т2. Исключениями являются метастазы злокачественной меланомы, которые характеризуются различной степенью усиления интенсивности в режиме Т1.

4. Каковы признаки печеночно-клеточной карциномы (ПКК), выявляемой при проведении различных визуализирующих исследований?

Встречаются следующие три типа печеночно-клеточной карциномы: большая соли-тарная опухоль, мультифокальная печеночно-клеточная карцинома с одним большим опухолевым узлом и несколькими более мелкими узлами и диффузная опухолевая инфильтрация. В Северной Америке у 60 % пациентов с печеночно-клеточной карциномой это новообразование возникло на фоне цирроза печени и у 20 % — на фоне гемохроматоза. Печеночно-клеточная карцинома может развиваться и из нормальной ткани печени (так называемая фибропластинчатая ПКК), в основном это характерно для лиц молодого возраста. Обычно в таких случаях карцинома бывает представлена солитарной опухолью с четкими границами.
Ультразвуковые признаки печеночно-клеточной карциномы различны и нередко напоминают признаки метастатического поражения печени. Небольшие опухоли (менее 3 см в диаметре) обычно гипоэхогенны, а большие опухоли обычно имеют гетеро-эхогенную структуру. Участки жировой трансформации опухоли имеют вид гипер-эхогенных зон внутри опухоли. Вовлечение в опухолевый рост сосудов встречается часто и является достаточно характерным для печеночно-клеточной карциномы признаком. ПКК поражает воротную вену чаще, чем печеночные вены; опухолевые тромбы в венах выявляются при проведении ультразвуковой допплерографии. При выполнении КТ обычно обнаруживают цирротические и гемохроматозные изменения ткани печени, которые явились причиной развития опухоли; в 10 % случаев опухолевые узлы обызвествляются. После введения контрастного вещества выявляются участки с низкой рентгеноплотностью, соответствующие центральным зонам некроза, и рентге-ноплотные не некротизированныеучастки опухоли (см. рисунок). Рентгеноплотность небольших опухолей может быть такой же, как и рентгеноплотность паренхимы печени. При этом единственным признаком опухоли является неровность контура печени. При проведении КТ можно обнаружить вовлечение сосудов в опухолевый рост и гемоперитоне-ум, обусловленный редко возникающими спонтанными разрывами печени. Как правило, опухолевые узлы имеют рентгеноплотную, контрастную капсулу. Компьютерная портография является более чувствительным методом при выявлении небольших опухолей. При проведении МРТ печеночно-клеточные карциномы могут характеризоваться гипо-, изо- или гиперинтенсивностью сигнала при визуализации в режиме Т1, в зависимости от степени жировой трансформации и внутреннего фиброза опухоли. Инкапсулированная печеночно-клеточная карцинома обычно имеет ободок, характеризующийся низкой интенсивностью сигнала при визуализации в режиме Т1. Фибропластинчатая печеночно-клеточная карцинома дает картину, похожую на картину фокальной узловой гиперплазии, поскольку в обоих случаях в центре опухолей выявляются рубцы и многочисленные фиброзные перегородки. Однако фибропластинчатые печеночно-клеточные карциномы часто обызвествляются, и центральный рубец обычно характеризуется низкой интенсивностью сигнала при визуализации опухоли в режиме Т2. В случае же узловой гиперплазии рубцы имеют высокую рентгеноплотность.

074-4.jpg

На компьютерной томограмме видна большая некротизированная печеночно-клеточная карцинома. Область низкой рентгеноплотности в левой доле (стрелка) соответствует одному из очагов мультифокальной печеночно-клеточной карциномы

5. Опишите характерные признаки гемангиом печени, выявляемых при проведении различных визуализирующих исследований.

Кавернозные гемангиомы являются наиболее распространенными доброкачественными опухолями печени. В большинстве случаев их размер не превышает 5 см, они, как правило, бывают одиночными, хотя встречаются и множественные гемангиомы. Обычно гемангиомы образуются в подкапсульной области в правой доле печени. Кровоток в кавернозных гемангиомах обычно очень медленный, что определяет их характерные признаки. Ультразвуковое сканирование. Кавернозные гемангиомы выглядят как гиперэхоген-ные опухолевидные образования с четкими контурами. При допплерографии и цветном сканировании обычно не выявляется каких-либо значимых нарушений кровотока. Иногда гемангиомы имеют смешанную или низкую эхогенность. Компьютерная томография. При выполнении неконтрастной компьютерной томографии гемангиомы обычно имеют вид образований с низкой рентгеноплотностью и четкими контурами. Их рентгеноплотность также может быть высокой или равной рентгеноплотности окружающих тканей, если они располагаются в участках локальной жировой инфильтрации. После быстрого введения в вену контрастного вещества наблюдается достаточно характерное контрастирование гемангиом, причем сначала контрастируются периферические отделы, а затем медленно заполняется контрастным веществом центральная часть опухоли. Характер заполнения гемангиом контрастным веществом описывается как узловой или пальцеобразный, время полного заполнения гемангиом контрастом составляет 5-60 мин. Примерно в 25 % случаев гемангиомы заполняются контрастным веществом иначе, при этом может в первую очередь заполняться центральный или какой-либо другой участок гемангиомы, что также нередко наблюдается при контрастировании злокачественных новообразований. Магнитно-резонансная томография. Типичная гемангиома имеет четко выраженные контуры и характеризуется пониженной интенсивностью сигнала по сравнению с интенсивностью сигнала, исходящего от неизмененной паренхимы печени при визуализации в режиме Т1. При визуализации в режиме Т2 гемангиомы характеризуются более высокой интенсивностью сигнала, чем интенсивность сигнала, исходящего от неизмененной паренхимы печени. При этом интенсивность сигнала, исходящего от гемангиомы, равна интенсивности сигнала, исходящего от желчи, находящейся в желчном пузыре, или несколько выше ее. При использании методики быстрого магнитно-резонансного сканирования в сочетании с внутривенным болюсным введением гадолиния наблюдается контрастирование гемангиом, сходное с таковым при проведении КТ.

6. Каков план обследования пациентов с предполагаемой кавернозной гемангио-мой печени?

Если выявленное образование имеет типичные ультразвуковые признаки кавернозной гемангиомы и его размеры не превышают 3 см, причем у пациента функциональные печеночные пробы в норме и в анамнезе нет указаний на наличие злокачественных заболеваний печени или метастазов в ней, то в таких случаях показано ультразвуковое сканирование через 3-6 мес. Если же образование дает атипичную ультразвуковую картину, или у пациента в анамнезе есть указания на наличие первичной злокачественной опухоли, или имеются отклонения от нормы функциональных печеночных проб, показано проведение дальнейшего обследования. Если размеры образования превышают 2 см, выполняется радиоизотопное сканирование с введением эритроцитов, меченных 99тТс. Это радиоизотопное сканирование является высокочувствительным и специфичным диагностическим методом при выявлении новообразований больших размеров. Если же размеры обнаруженного образования меньше 2 см, можно также предпринять попытку проведения сканирования с введением эритроцитов, меченных 99тТс, однако следует отметить, что чувствительность и специфичность этого метода тем ниже, чем меньше размеры опухоли. Если результаты радиоизотопного сканирования сомнительны, следует выполнить МРТ, причем предпочтительно использовать методику быстрого сканирования в сочетании с введением гадолиния. В соответствии с такой схемой компьютерную томографию следует использовать либо как третью ступень обследования, либо в тех случаях, когда нет возможности выполнить МРТ. Если новообразование в печени было впервые выявлено при проведении компьютерной томографии и имеются четкие признаки того, что это новообразование является гемангиомой (четкие контуры, низкая рентгеноплотность при неконтрастном исследовании, при введении контрастного вещества заполнение в первую очередь периферических областей), то в таких случаях нет необходимости в проведении дальнейших исследований. Если же для постановки диагноза необходимы дополнительные данные, выполняется либо радиоизотопное сканирование с введением меченных 99mТс эритроцитов, либо ультразвуковое сканирование, которое является методом выбора. Если при проведении первичной компьютерной томографии не получены бесспорные доказательства наличия гемангиомы или у пациента имеются отклонения от нормы функциональных печеночных проб, показано проведение дальнейшего обследования, включающего в себя радиоизотопное сканирование или магнитно-резонансное сканирование. Если во время выполнения компьютерной томографии не представляется возможным судить о характере выявленного новообразования, это, скорее всего, связано с неполным его заполнением контрастным веществом. Если же все перечисленные исследования не позволяют с большой степенью достоверности установить, что имеющиеся у пациента новообразования являются кавернозными гемангиомами, для постановки окончательного диагноза необходимо выполнить биопсию с последующим гистологическим исследованием полученного материала.

7. По каким признакам можно отличить фокальную узловую гиперплазию от пе-ченочно-клеточной аденомы?

Печеночно-клеточная аденома и фокальная узловая гиперплазия наиболее часто встречаются у женщин; развитие обеих этих опухолей, особенно печеночно-клеточ-ной аденомы, связано с приемом гормональных противозачаточных препаратов. Фокальная узловая гиперплазия является доброкачественной опухолью, в то время как печеночно-клеточная аденома может иметь геморрагические проявления и иногда имеет тенденцию к неопластической трансформации, вследствие чего возможны летальные исходы. Нередко бывает очень сложно дифференцировать эти опухоли, особенно при наличии мелких новообразований, развитие которых не сопровождается кровотечениями. В таких случаях установить диагноз можно только после произведения биопсии и гистологического исследования ткани.
Фокальная узловая гиперплазия. Характерный признак этой опухоли — наличие центрального рубца, состоящего из радиально расположенных фиброзных волокон, сосудов и элементов желчевыводящей системы. Однако центральный рубец не является строго специфичным признаком и может обнаруживаться при исследовании фибропластинчатых печеночно-клеточных карцином, гемангиом и других новообразований. При ультразвуковом сканировании фокальная узловая гиперплазия выявляется в виде гипоэхогенного объемного образования с четкими контурами, иногда с наличием центрального рубца. При проведении компьютерной томографии центральный рубец с низкой рентгеноплотностью выявляется в 20-40 % случаев. Линейная или ветвистая структура рубца позволяет отличить его от центрального некроза опухоли. При проведении компьютерной томографии без применения контрастных препаратов фокальная узловая гиперплазия выявляется в виде образований с низкой рентгеноплотностью без участков обызвествления. Получаемая при проведении контрастной компьютерной томографии картина обычно похожа на картину, получаемую при аналогичном исследовании нормальной печени, за исключением того, что при фокальной узловой гиперплазии выявляются центральные рубцы с низкой рентгеноплотностью. Таким образом, при отсутствии центральных рубцов на компьютерных томограммах можно пропустить фокальную узловую гиперплазию или расценить ее просто как некоторую неровность края печени. При проведении динамических контрастных исследований фокальная узловая гиперплазия и ее рубцы могут иметь несколько большую рентгеноплотность, чем рентгеноплотность окружающей паренхимы печени, что связано с сосудистым контрастированием опухоли. При проведении МРТ фокальная узловая гиперплазия характеризуется средней интенсивностью сигнала при визуализации в режиме Т1 и повышенной интенсивностью сигнала при визуализации в режиме Т2. Центральные рубцы при визуализации в режиме Т2 характеризуются повышенной интенсивностью сигнала и контрастируются при внутривенном введении гадолиния. Поскольку в печени имеются купферовские клетки, то при выполнении сцинтиграфии с введением коллоидной серы нормальное поглощение препарата наблюдается в 50 % случаев, снижение поглощения — в 40 % случаев, увеличение поглощения и образование "горячих участков" — в 10 % случаев, что, возможно, связано с гиперплазией куп-феровских клеток. Однако у 20 % пациентов с печеночно-клеточной аденомой также наблюдается нормальное поглощение коллоидной серы купферовскими клетками. Печеночно-клеточная аденома. При ультразвуковом сканировании обычно выявляются гетероэхогенные опухолевидные образования, что обусловлено наличием внутренних кровоизлияний. При проведении неконтрастной компьютерной томографии выявляются образования с невысокой рентгеноплотностью; в центре этих образований могут быть видны участки с высокой рентгеноплотностью, что связано с наличием кровоизлияний. Кровоизлияния являются основным отличительным признаком печеночно-клеточной аденомы. При фокальной узловой гиперплазии кровоизлияния не возникают. После введения контрастного препарата возможно его центрипетальное (от периферии к центру) накопление, как при гемангиомах. При проведении МРТ печеночно-клеточная аденома при визуализации в режиме Т1 характеризуется высокой интенсивностью сигнала, что обусловлено высоким содержанием в опухоли жиров и гликогена, однако подобная картина может наблюдаться и при печеночно-клеточной карциноме. Очаги печеночно-клеточной аденомы обычно выглядят гетерогенными, что связано с наличием внутренних некрозов и кровоизлияний.

8. Каковы признаки жировой инфильтрации печени?

Развитие жировой инфильтрации печени связано с отложением триглицеридов в гепатоцитах, которое может иметь место при многих заболеваниях и патологических состояниях, включая алкоголизм, ожирение, избыточное употребление стероидных гормонов, избыточное питание, сахарный диабет, ослабление организма, обусловленное прохождением курса лучевой или химиотерапии, болезни, связанные с накоплением гликогена. Жировая инфильтрация печени может приводить к небольшому отклонению от нормы функциональных печеночных проб и к развитию гепатомегалии. Жировая инфильтрация печени может быть диффузной и очаговой. Ультразвуковое сканирование. Жировая инфильтрация печени проявляется диффузным или очаговым повышением эхогенности печеночной паренхимы. При этом плохо визуализируются или вовсе не визуализируются внутрипеченочные кровеносные сосуды, расположенные в глубоких задних отделах печени, и участок диафрагмы позади печени. При ультразвуковом сканировании не выявляется никаких объемных образований в близлежащих желчных протоках и кровеносных сосудах. Диффузное повышение эхогенности печени является неспецифическим признаком, который также характерен для гепатита и для цирроза печени.
Компьютерная томография. Жировая инфильтрация печени на компьютерных томограммах имеет вид участков пониженной рентгеноплотности, которые видны более четко, если вокруг них расположена неизмененная паренхима печени (см. рисунок). При проведении неконтрастной компьютерной томографии нормальная печень обычно имеет рентгеноплотность, на 8 HU большую, чем рентгеноплотность селезенки, а участки жировой инфильтрации выглядят менее рентгеноплотными, чем селезенка. Однако при проведении неконтрастной компьютерной томографии некоторые другие образования тоже могут иметь вид участков со сниженной рентгеноплотностью, например гепатома и метастазы в печени. При жировой инфильтрации кровеносные сосуды печени выделяются на фоне измененной паренхимы печени и их можно увидеть при проведении контрастного исследования. При очаговой жировой инфильтрации нормальные кровеносные сосуды печени пересекают области сниженной рентгеноконтрастности, чего не наблюдается при наличии злокачественных новообразований. Очаговая жировая инфильтрация печени обычно имеет достаточно четкие границы и локализуется в какой-либо одной доле.
Магнитно-резонансная томография. Жировая ткань обычно выглядит яркой при визуализации в режиме Т2 и темной при визуализации в режиме Т2. Очаговая жировая инфильтрация печени в отличие от подкожного отложения жира обычно не вызывает значительных изменений сигнала. Как и при выполнении КТ, очень важно визуализировать нормальные кровеносные сосуды в области изменения сигнала и отсутствие объемных образований в близлежащих структурах. Специальная магнитно-резонансная томография с подавлением сигнала, исходящего от жировой ткани, является более чувствительным методом, чем обычное сканирование в режимах Т1 и Т2. При использовании этого метода жировая инфильтрация печени выявляется в виде участков, характеризующихся пониженной интенсивностью сигнала по сравнению с неизмененной тканью печени.

074-5.jpg

Очаговая жировая инфильтрация печени; участки жировой инфильтрации характеризуются более низкой рентгеноплотностью по сравнению с неизмененной тканью печени (стрелки)

9. Как выглядит абсцесс печени при проведении визуализирующих исследований? 

Ультразвуковое сканирование. При ультразвуковом сканировании абсцесс печени имеет вид очагового заполненного жидкостью образования, обычно имеющего перегородки внутри (см. рисунок) и неровные стенки. Наряду с жидкостью в полости абсцесса имеются газ и продукты некротического распада тканей. Скопления газа выглядят как гиперэхогенные участки, позади которых возникает эхотень. Абсцесс также может быть заполнен только жидкостью и выглядеть как киста. Компьютерная томография. КТ является наиболее чувствительным методом диагностики абсцессов печени, его чувствительность составляет 95-98 %. Изменения, выявляемые при проведении компьютерной томографии, варьируются в зависимости от размеров и давности возникновения абсцесса. Чаще всего абсцессы имеют вид образований, имеющих низкую рентгеноплотность и четкие контуры. Полость абсцесса может иметь ровные или неровные контуры. Плотность заполняющей полость абсцесса жидкости варьируется от 2 до 40 единиц Хансфилда (HU) в зависимости от содержания в ней белков. Абсцессы могут быть унилакунарными и мультилакунарными, кроме того, они могут иметь внутренние перегородки. Обычно абсцессы имеют четко выраженные стенки, которые хорошо видны при контрастировании. Наиболее специфичным признаком является наличие пузырьков газа в полости абсцесса, хотя этот признак выявляется только в 20 % случаев. Магнитно-резонансная томография. Абсцессы печени представляют собой образования с четкими контурами, характеризующиеся низкой интенсивностью сигнала при визуализации в режиме Т1 и высокой интенсивностью сигнала при визуализации в режиме Т2. Полость абсцесса может давать гомогенный или гетерогенный сигнал, в ней также могут выявляться перегородки. Капсула имеет вид ободка, характеризующегося низкой интенсивность сигнала, и может быть контрастирована при введении гадолиния.
Жидкостные образования, такие как фокальная гематома и некротическая или геморрагическая неоплазия, могут давать похожую картину при проведении МРТ.

074-6.jpg

Ультразвуковая картина внутрипеченочного абсцесса. Также может выглядеть и гематома. Стрелками показаны внутренние перегородки

10. Какие методы визуализации применяются для диагностики цирроза печени? 

Ультразвуковое сканирование. При ультразвуковом сканировании цирроз характеризуется изменением эхоструктуры печени. Паренхима печени в типичных случаях цирроза выглядит гиперэхогенной с "огрублением" эхосигнала, что делает структуру печени гетероэхогенной. Внутрипеченочные кровеносные сосуды визуализируются плохо. К сожалению, эти изменения неспецифичны: повышение эхогенности паренхимы печени также наблюдается при жировой инфильтрации печени, а гетерогенность эхосигнала — при инфильтрирующих злокачественных опухолях. Более того, не существует прямой корреляции между степенью нарушения функций печени и ультразвуковой картиной. Более специфичными ультразвуковыми признаками цирроза являются наличие узелков на поверхности печени и селективное увеличение хвостатой доли печени (см. рисунок 8А). Если соотношение хвостатой и правой долей печени превышает 96 %, то это позволяет с 96 % точностью диагностировать цирроз. При портальной гипертензии скорость кровотока в неизмененной воротной вене может значительно изменяться, однако при проведении допплеровского исследования выявляется гепатофугальный (ретроградный) кровоток, который считается важным диагностическим признаком. При проведении допплеровского исследования также можно с большей степенью точности выявить наличие коллатеральных кровеносных сосудов, особенно реканализированную параумбиликальную вену. Компьютерная томография. Хотя начальные изменения паренхимы печени на компьютерных томограммах могут быть не видны, этот метод позволяет без особого труда выявлять жировую инфильтрацию, которая является первым признаком алкогольной болезни печени. При этом печень увеличивается в размерах, ее рентгеноконтрастность снижается и становится ниже, чем рентгеноконтрастность селезенки. На поздних стадиях цирроза в типичных случаях размеры печени уменьшаются. Может наблюдаться узловатость контуров печени (связанная с образованием регенераторных узлов, рубцов и зон атрофии), что делает изображение печени гетерогенным. Регенераторные узлы имеют такую же рентгеноплотность, что и паренхима печени, поэтому их можно обнаружить только по деформации контуров печени. Типичными признаками цирроза печени являются увеличение хвостатой доли и латерального сегмента левой доли, а также атрофия правой доли и медиального сегмента левой доли. Жировая ткань брыжейки кишки характеризуется большей рентгеноплотностью, чем забрюшинный и подкожный жир. Кроме того, при проведении компьютерной томографии выявляются варикоз-но расширенные вены, асцит и спленомегалия, связанные с портальной гипертензией (см. рисунок). В отличие от ультразвукового сканирования компьютерная томография не позволяет установить направление кровотока, но дает возможность легко определить протяженность варикозных узлов и наличие коллатеральных сосудов. Магнитно-резонансная томография. Роль МРТ в выявлении цирроза печени невелика, но этот метод позволяет проводить дифференциальную диагностику между циррозом и печеночно-клеточной карциномой. Узлы регенерации обычно характеризуются низкой интенсивностью сигнала при визуализации в режиме Т2 благодаря отложениям гемосидерина, а печеночно-клеточная карцинома — высокой рентгеноплотностью. Гиперпластические аденоматозные узлы без признаков атипии имеют высокую рентгеноплотность при визуализации в режиме Т1 и низкую — при визуализации в режиме Т2, что позволяет провести дифференциальный диагноз с карциномой.

074-7.jpg

Цирроз печени. А. При ультразвуковом сканировании выявлена уменьшенная в размерах печень, имеющая гиперэхогенную структуру и узловатые контуры, характерные для цирроза. В. При проведении компьютерной томографии выявлены уменьшенная в размерах печень с узловатыми контурами, варикозно расширенные вены (черные стрелки) и сильно выраженный асцит (белая стрелка)

11. Какой метод диагностики гемохроматоза наиболее чувствителен?

Магнитно-резонансная и компьютерная томография позволяют выявить повышенное содержание железа в печени и других органах и таким образом диагностировать гемохроматоз. При ультразвуковом сканировании печень обычно выглядит неизмененной, несмотря на то, что в ней имеются отложения железа еще до развития цирроза. Повышенная рентгеноплотность печени, обнаруживаемая при проведении компьютерной томографии, связана с высоким атомным числом железа. Однако повышенная рентгеноплотность печени не является признаком, специфическим для гемохроматоза; амиодарон, применение химиотерапевтических препаратов и отложения гликогена также могут приводить к возникновению аналогичных изменений. При гемо-хроматозе рентгеноплотность печени на компьютерных томограммах в типичных случаях составляет более 85 HU, в то время как рентгеноплотность нормальной печени не превышает 60 HU. При проведении магнитно-резонансной томографии отложения железа вызывают понижение интенсивности сигнала, что связано с парамагнитными эффектами. Изменения наиболее четко выявляются при визуализации в режиме Т2, хотя могут быть видны и при визуализации в режиме Т1. Магнитно-резонансная томография является более чувствительным и специфичным методом диагностики гемохроматоза, чем компьютерная томография, и в будущем использование МРТ избавит врачей от необходимости выполнять биопсию печени в стандартных случаях. Первичный гемохроматоз является аутосомально-рецессивным заболеванием, при котором из поступающей в организм пищи усваивается гораздо больше железа, чем в норме; избыточное количество железа откладывается в клетках паренхимы печени, сердца, селезенки и поджелудочной железы. Вторичный гемохроматоз, развивающийся в результате многочисленных гемотрансфузий, проявляется отложением железа в клетках ретикулоэндотелиальной системы, в первую очередь печени и селезенки. При циррозе печени или внутрисосудистом гемолизе отмечается незначительное повышение содержания железа в гепатоцитах. Ни МРТ, ни КТ не позволяют установить, в каких именно клетках происходит накопление железа. Однако выявление изменений в конкретных органах также представляет собой очень ценную информацию.

12. Как выглядит нормальная допплерографическая картина?

Изменение длины ультразвуковых волн при их отражении от текущей крови позволяет определять скорость и направление кровотока. Для каждой артерии и вены организма человека характерна определенная форма допплеровской волны. Скорость венозного кровотока постоянна, и лишь несколько изменяется при дыхании. По портальной вене кровь течет по направлению к печени, и скорость кровотока обычно варьируется от 15 до 25 см/с (см. рисунок А). Скорость кровотока в норме уменьшается на вдохе и увеличивается на выдохе. Скорость артериального кровотока не изменяется в зависимости от фазы дыхания, но в значительной степени определяется фазой сердечного цикла. Скорость кровотока во время систолы очень высока и также может быть относительно высока (например, при низком периферическом сопротивлении) во время диастолы (см. рисунок В). У голодающих пациентов в верхней брыжеечной артерии определяется высокая скорость кровотока во время систолы, но совсем незначительная скорость и даже обратное направление тока крови в фазу диастолы (из-за высокого периферического сопротивления). Прием пищи способствует снижению общего периферического сопротивления и увеличению скорости диастолического кровотока в кишке за счет расширения конечных отделов артерий. С помощью цветного допплерографического исследования можно определить наличие и направление кровотока как в артериях, так и в венах. Кровоток в артериях и венах принято показывать разными цветами (красным и голубым), чтобы отразить его направление. При исследовании артерий видна цветовая пульсация, связанная с быстрыми изменениями скорости кровотока. Врач, проводящий исследование, определяет цвет крови, которая течет по направлению к датчику. Кровь, которая течет в противоположном направлении, имеет другой цвет. Цветная допплерография является методом, с помощью которого можно быстро установить проходимость сосудов и направление кровотока в них. Трубчатые образования в воротах печени, не имеющие цвета, могут быть как желчными протоками, так и кровеносными сосудами, либо тромбированными, либо временно "выключенными".

074-8.jpg

Допплеровское ультразвуковое исследование. А. Нормальный кровоток в портальной вене. Кровоток регистрируется над базовой линией, так как он направлен к ультразвуковому датчику. В. Нормальный кровоток в печеночной артерии. Кровоток также направлен к ультразвуковому датчику. Скорость кровотока увеличивается во время систолы и уменьшается во время диастолы

13. Какова роль ультразвукового сканирования при обследовании пациентов, которым произведено трансяремное внутрипеченочное портокавальное шунтирование (ТВПШ)?

Роль ультразвукового сканирования при обследовании пациентов, которым произведено ТВПШ, постоянно повышается по мере совершенствования технических средств. В настоящее время ультразвуковое сканирование применяется при предоперационном обследовании и для оценки функциональной состоятельности шунта после выполнения операции.
Предоперационное обследование пациентов проводится за 24-48 ч до наложения шунта с целью исследования паренхимы селезенки и печени, определения размеров селезенки, выявления возможного варикозного расширения вен и асцита, произведения оценки печеночного кровотока и проходимости внутренних яремных вен. После наложения шунта следующее ультразвуковое сканирование выполняется через 24-48 ч. При этом устанавливается наличие кровотока через шунт, измеряется скорость крови в области обоих концов шунта и в его середине. Обычно кровоток через шунт характеризуется высокой скоростью и турбулентностью. Пиковая скорость кровотока у пациентов с нормально функционирующим шунтом может изменяться в широких пределах (см. рисунок); поэтому проведение первичного послеоперационного исследования очень важно. Снижение пиковой скорости кровотока в сочетании с другими признаками несостоятельности шунта требует проведения портографии. К признакам несостоятельности шунта относятся снижение скорости кровотока через шунт, повторное возникновение асцита, увеличение размеров вари-козно расширенных вен, а также кровоток в обход шунта. В случае, когда пиковая скорость кровотока через шунт составляет 50-60 см/с, показано ангиографическое исследование шунта для определения наличия и характера его стеноза.

074-9.jpg

А. Ультразвуковая картина при произведенном ТВПШ. В. При проведении допплеровского ультразвукового исследования выявляется проходимость шунта

14. Как изменяется допплерографическая картина при тромбозе воротной вены, портальной гипертензии и синдроме Бадда-Киари?

При остром тромбозе воротной вены в ней резко снижается или прекращается кровоток. В большинстве случаев в просвете воротной вены обнаруживаются эхогенные массы (см. рисунок А), хотя в некоторых случаях воротная вена может выглядеть неизмененной.

074-10.jpg

Допплерографическое ультразвуковое сканирование. А. Эхогенность воротной вены обусловлена тромбозом (внутри белого квадрата), возникшим у пациента с печеночно-клеточной карциномой, прорастающей в воротную вену. В. У пациента с установленной портальной гипертензией выявлено наличие гепатофугального (ретроградного) кровотока ,
074-11.jpg

С. При цветном допплерографическом исследовании ретроградный кровоток в воротной вене пациента с портальной гипертензией будет голубого цвета. Если кровь течет в обычном направлении (к печени), кровоток показывается красным цветом. D. При проведении допплерографического исследования выявлен кровоток в серповидной связке (белая стрелка), что связано с реканализацией параумбиликальной вены у пациента с портальной гипертензией. Имеется скопление асцитичес-кой жидкости в подпеченочном пространстве

При проведении допплерографии не выявляется никаких изменений сигнала, а при проведении цветового допплерографического исследования воротная вена никак не окрашивается. В большинстве случаев при хронической кавернозной трансформации воротной вены ее не удается визуализировать, однако можно выявить эхогенные структуры в воротах печени, представляющие собой остатки фиброзной ткани. Наличие многочисленных трубчатых каналов в области ворот печени, выявляемое с помощью цветного допплерографического исследования, является диагностическим признаком кавернозной трансформации воротной вены. Наличие портальной гипертензии следует предполагать в том случае, когда при ультразвуковом сканировании выявляется расширение воротной вены и снижение скорости кровотока в ней. При увеличении диаметра воротной вены до 13 мм следует предположить наличие портальной гипертензии, хотя диаметр воротной вены в норме может быть различным и поэтому не является надежным критерием. Наличие ретроградного (гепатофугального) кровотока в воротной вене указывает на далеко зашедший патологический процесс и является очень ценным, но обычно поздно выявляемым признаком (см. рисунки В и С). Большую помощь в постановке диагноза портальной гипертензии оказывает обнаружение портокавальных коллатералей. Наиболее легко выявляемой при ультразвуковом сканировании коллатералью является реканализиро-ванная параумбиликальная вена (см. рисунок D), по которой осуществляется сброс крови из левой воротной вены в вены брюшной стенки. Коронарная (левая желудочная) вена представляет собой еще один коллатеральный сосуд. Эта вена берет свое начало от места слияния селезеночной и воротной вен и идет вверх к кардиальному отверстию, где и впадает в варикозно расширенные вены пищевода. Наличие гепатофугального (ретроградного) кровотока в коронарной вене является одним из наиболее достоверных признаков портальной гипертензии. Варикозные расширения селезеночной вены выявляются достаточно легко. Они имеют вид трубчатых образований, кровоток в которых направлен к воротам селезенки. К другим портокавальным коллатералям относятся селезеночно-почечные шунты и вены забрюшинного пространства. В основе синдрома Бадда-Киари лежит закупорка (тромбоз) печеночных вен, приводящая к прекращению в них кровотока. Закупорка может происходить на нескольких уровнях, от уровня печеночных венул до уровня нижней полой вены. В типичных случаях при такой закупорке паренхима печени выглядит диффузно гетероэхо-генной, однако для постановки диагноза необходимо выявить эхогенный тромб или отсутствие кровотока в одной или нескольких печеночных венах или в надпеченоч-ной части нижней полой вены. У 20 % пациентов синдром Бадда-Киари сочетается с тромбозом воротной вены, у многих развивается асцит.

15. О чем свидетельствует утолщение стенки желчного пузыря, выявляемое при ультразвуковом сканировании?

Утолщение стенки желчного пузыря более чем на 3 мм при наличии его растяжения является отклонением от нормы и требует объяснения. Утолщение стенок желчного пузыря в сочетании с ультразвуковым симптомом Мерфи и наличием камней в желчном пузыре более чем в 90 % случаев свидетельствует о наличии у пациента острого холецистита, который является наиболее распространенной причиной утолщения стенок желчного пузыря.
Многие другие заболевания также могут приводить к утолщению стенок желчного пузыря. Правожелудочковая сердечная недостаточность и слипчивый перикардит вызывают застойное увеличение печени (гепатомегалию), которое часто сопровождается утолщением и отеком стенок желчного пузыря. При гипоальбуминемии, развивающейся вторично при хронических заболеваниях печени или нефротическом синдроме, снижается онкотическое давление, в результате чего развиваются генерализованные отеки тканей, в том числе отек стенок желчного пузыря. Застой в системе воротной вены при портальной гипертензии любой этиологии и окклюзия печеночных вен также могут вызывать утолщение стенок желчного пузыря. Воспаление желчного пузыря, развивающееся при гепатите или холангите у пациентов со СПИДом, тоже может быть причиной утолщения стенок желчного пузыря. Помимо перечисленных заболеваний, утолщение стенок желчного пузыря могут вызывать хронический холецистит, аденомиоматоз, первичный склерозирующий холангит и лейкемическая инфильтрация. Карцинома желчного пузыря также влечет за собой утолщение стенок желчного пузыря, но ее легко отдифференцировать от других заболеваний, поскольку она имеет характерный вид объемного образования и ее развитие сопровождается поражением лимфатических узлов и метастазированием в печени.

16. Каков план обследования пациентов, у которых предполагается наличие закупорки желчных протоков?

Ультразвуковое сканирование является методом выбора при проведении скринин-гового обследования пациентов, у которых предполагается закупорка желчных протоков. При ультразвуковом сканировании нерасширенные желчные протоки имеют диаметр 1-2 мм и обычно бывают не видны. Диаметр общего желчного протока является важным показателем закупорки желчных протоков, причем даже более важным, чем диаметр внутрипеченочных желчных протоков. В норме диаметр общего желчного протока составляет 4-5 мм, диаметр более 6 мм — признак расширения желчных протоков (см. рисунок А). Однако диаметр внепеченочных желчных протоков увеличивается с возрастом, а также у пациентов, перенесших холецистэктомию или механическую желтуху. Таким образом, расширение желчных протоков не всегда является признаком их закупорки. Повторное ультразвуковое сканирование, выполняемое после приема жирной мясной пищи или внутривенного введения холецистокинина, позволяет отличить расширение желчных протоков от их закупорки. Если диаметр расширенного общего желчного протока не уменьшается и не увеличивается при проведении этих тестов, имеет место закупорка желчных протоков. В сложных случаях проводится ультразвуковое допплерографическое исследование, которое позволяет отличать желчные протоки от кровеносных сосудов, входящих в состав портальной триады. При расширении внутрипеченочных желчных протоков могут обнаруживаться параллельные портальным венам трубчатые образования, имеющие низкую эхогенность. Это так называемый симптом "слишком большого количества трубчатых структур".
Хотя ультразвуковое сканирование является методом выбора при проведении скринингового обследования пациентов с заболеваниями желчевыводящей системы, после выявления какой-либо патологии выполняется компьютерная томография, которая позволяет более точно определять степень, локализацию и причину закупорки протоков. С помощью компьютерной томографии можно определить всю длину общего желчного протока, поскольку наличие газов в кишечнике часто затрудняет ультразвуковую визуализацию дистальной части холедоха. В норме диаметр общего желчного протока на компьютерных томограммах не превышает 6 мм, а увеличение его диаметра до 9 мм является признаком расширения желчных протоков (см. рисунок В).
Расширение желчевыводящих путей также можно выявить с помощью магнитно-резонансной томографии, хотя обычно это экономически невыгодно и разрешающая способность данного метода часто оказывается недостаточной для проведения полноценного исследования. Эндоскопическая ретроградная холангиопанкреатография и чрескожная чреспеченочная холангиография позволяют провести более детальное исследование, чем ультразвуковое сканирование и компьютерная томография, но эти методы являются инвазивными.

074-12.jpg

А. При ультразвуковом сканировании виден расширенный общий желчный проток (отмечен крестиками) диаметром 15,7 мм у пациента со стриктурой дистального отдела общего желчного протока. Воротная вена (длинная стрелка) и печеночная артерия (короткая стрелка), имеющие низкую эхогенность, видны позади общего желчного протока. В. На компьютерной томограмме видно расширение внутрипеченочных желчных протоков (прямые стрелки) вблизи от хорошо контрастирую-щейся воротной вены (изогнутая стрелка) у пациента с раком поджелудочной железы

17. Между какими заболеваниями необходимо проводить дифференциальную диагностику при обнаружении признаков закупорки желчных протоков?

Закупорку желчных протоков могут вызвать заболевания, связанные с патологией желчевыводящей системы (например, холедохолитиаз, холангит, холангиокарцинома), и заболевания, не связанные с патологией желчевыводящей системы (например, панкреатит, периампулярная карцинома). Расширение внутрипеченочных желчных протоков при неизмененном диаметре общего желчного протока свидетельствует о наличии внутрипеченочного объемного образования или аномалии развития. Расширение протока поджелудочной железы обычно свидетельствует об обструкции на уровне поджелудочной железы или на уровне ампулы большого сосочка двенадцатиперстной кишки.
Резкий "обрыв" расширенного общего желчного протока в большинстве случаев говорит о наличии новообразования (или конкремента), а постепенное сужение общего желчного протока по направлению к головке поджелудочной железы типично для фиброзного перерождения, связанного с хроническим панкреатитом. Ультразвуковое сканирование с точностью 60-70 % позволяет выявить камни в общем желчном протоке; в отличие от камней желчного пузыря камни в общем желчном протоке не всегда дают акустическую тень. Для выявления камней в холедохе с помощью компьютерной томографии требуется произведение тонкого сечения (шаг должен быть не более 5 мм). В зависимости от своего состава камни могут выглядеть как мягкие ткани и как плотные обызвествленные образования внутри просвета общего желчного протока.
Наличие холангиокарциномы следует предполагать у пациентов при выявлении резкого "обрыва" протока, когда не визуализируются ни камень, ни объемное образование. Собственно холангиокарциному достаточно трудно идентифицировать с помощью ультразвукового сканирования или компьютерной томографии. Так как холан-гиокарцинома часто развивается вблизи ворот печени или непосредственно в области ее ворот (так называемая опухоль Клатскина [Klatskin]), для нее обычно характерно расширение внутрипеченочных желчных протоков и отсутствие изменений внепеченочных желчных протоков.
Характер сужения общего желчного протока — резкое или постепенное сужение — позволяет отдифференцировать рак поджелудочной железы от хронического панкреатита. Однако при хроническом панкреатите также может наблюдаться картина фокального объемного образования. В таких случаях для точного установления диагноза необходимо выполнение биопсии с последующим гистологическим исследованием.

18. По каким признакам можно отдифференцировать острый панкреатит от хронического?

Острый панкреатит. Классические ультразвуковые признаки острого панкреатита включают в себя снижение эхоплотности и общее увеличение размеров поджелудочной железы, однако в 18 % случаев наблюдаются очаговые поражения. Компьютерная томография является предпочтительным методом исследования при подозрении на острый панкреатит по нескольким причинам: (1) наличие газа в кишке часто не позволяет провести полноценное ультразвуковое сканирование поджелудочной железы; (2) компьютерная томография дает возможность более точно оценить степень распространенности скоплений жидкости в парапанкреатической клетчатке; (3) ультразвуковое сканирование не позволяет выявлять участки некроза поджелудочной железы. Однако ультразвуковое сканирование является эффективным методом динамического наблюдения за пациентами с ложными кистами поджелудочной железы, которые могут выглядеть как эхонегативные образования или могут иметь внутри эхопозитивные структуры вследствие наличия в полости кист крови или некротических тканей.
Компьютерная томография обычно выполняется с внутривенным введением контрастного препарата, но если у пациента предполагается геморрагический панкреатит, в первую очередь проводится исследование без введения контрастного вещества для выявления кровоизлияний, характеризующихся высокой рентгеноплотностью. При легких формах панкреатита на компьютерных томограммах могут вовсе отсутствовать какие-либо изменения. При остром панкреатите средней степени тяжести поджелудочная железа увеличивается в размерах, структура ее становится гетерогенной, появляются признаки воспаления окружающей поджелудочную железу жировой клетчатки, рентгеноплотность которой повышается (так называемый симптом "грязного жира"). При тяжелых формах острого панкреатита возникают скопления жидкости в ткани поджелудочной железы, а также в тканях, окружающих поджелудочную железу; кроме того, наблюдаются признаки воспаления этих тканей и утолщение окружающих железу фасциальных оболочек (см. рисунок А). Жидкость чаще всего скапливается в переднем паранефральном пространстве и в малом сальнике, но она может распространяться и значительно дальше.

074-13.jpg

Панкреатит. А. При остром панкреатите на компьютерных томограммах определяются скопления жидкости в окружающих поджелудочную железу тканях (стрелки). В. При хроническом панкреатите на компьютерных томограммах определяется множество кальцинатов в поджелудочной железе (стрелки)

Хронический панкреатит. Ультразвуковое сканирование позволяет с 60-80 % точностью диагностировать хронический панкреатит, наиболее специфичным ультразвуковым признаком которого является расширение протока поджелудочной железы. Кальцификаты определяются в виде гиперэхогенных, дающих акустическую тень очагов внутри железы. На ранних стадиях заболевания поджелудочная железа может равномерно увеличиваться в размерах, но позднее отмечается атрофия или фокальное ее увеличение. Эхогенность паренхимы железы может в значительной степени изменяться. Подобные изменения обнаруживаются и при проведении компьютерной томографии. При выявлении фокального увеличения железы, обусловленного выраженным воспалением, требуется выполнение биопсии с последующим гистологическим исследованием биоптата с целью исключения карциномы. Проток поджелудочной железы может быть расширен (более 3 мм) до уровня фатерова соска, может иметь вид четок, неправильную форму или гладкую внутреннюю поверхность. Наличие кальцинатов является наиболее достоверным томографическим признаком хронического панкреатита. Этот признак выявляется в 50 % случаев (см. рисунок В). Ложные кисты могут выявляться в самой поджелудочной железе или в окружающих ее тканях.

19. Какова роль компьютерной томографии и ультразвукового сканирования в выявлении осложнений панкреатита?

1. Ложные кисты поджелудочной железы возникают примерно у 30-50 % пациентов с острым панкреатитом. Их образование занимает по меньшей мере 4 нед. Большая часть ложных кист поджелудочной железы (размер которых не превышает 5 см) спонтанно регрессирует. Ложные кисты, которые не регрессируют без внешнего вмешательства или имеют клинические проявления (боли, присоединение инфекций, кровотечение, нарушение проходимости желудочно-кишечного тракта или образование свищей), необходимо дренировать. На компьютерных томограммах ложные кисты имеют вид жидкостных образований овальной формы с неэпителизированными, имеющими достаточно высокую рентгеноплотность стенками. При ультразвуковом сканировании выявляются анэхогенные тонкостенные жидкостные образования, в которых могут быть фрагменты распадающихся тканей. Скопление газа внутри ложной кисты поджелудочной железы свидетельствует о присоединении инфекции или о наличии свищевого сообщения с просветом кишки.
2. Асцит при панкреатите представляет собой скопление в брюшной полости свободной жидкости, в которой определяется высокая концентрация амилазы. Асцит развивается примерно у 7 % пациентов с острым панкреатитом. Течение заболевания у таких пациентов тяжелое, при проведении КТ выявляются характерные признаки. Иногда при этом поджелудочная железа может выглядеть неизмененной; в таких случаях для уточнения диагноза показано проведение чрескожного дренирования и определение концентрации амилазы в асцитической жидкости.
3. Некроз поджелудочной железы при остром панкреатите выявляется с помощью компьютерной томографии с точностью 75-80 %. Участки некротизированных тканей имеют пониженную рентгеноплотность, причем некроз может возникать как на ранних, так и на поздних стадиях развития заболевания. Степень некроза поджелудочной железы является важным прогностическим фактором. Если у пациентов при проведении компьютерной томографии не выявляются признаки некроза поджелудочной железы, летальные случаи, как правило, не наблюдаются, а заболеваемость составляет 6 %. У пациентов с незначительными по объему некрозами (менее 30 % от массы железы) летальность также равна нулю, а риск развития осложнений достигает 40 %. И наконец, у пациентов с распространенными некрозами (более 50 % от массы железы) заболеваемость составляет 75-100 %, а частота летальных исходов — 11-25 %. Некротизированные ткани могут подвергаться вторичному инфицированию, которое выявляется при компьютерной томографии в виде скоплений газа в участках некроза ткани поджелудочной железы (так называемый эмфизематозный панкреатит). Однако чаще всего присоединение инфекции не сопровождается газообразованием, и в таких случаях для постановки диагноза и идентификации возбудителя выполняются чрескожная пункция и посев отделяемого из некротизированных участков железы.
4. Абсцесс поджелудочной железы развивается вторично после некротического расплавления ткани железы с последующим инфицированием. При проведении компьютерной томографии выявляются имеющие плотные стенки жидкостные образования, характеризующиеся низкой рентгеноплотностью. Нередко визуализируются пузырьки газа. При ультразвуковом сканировании абсцессы поджелудочной железы имеют вид гипоэхогенных или анэхогенных образований, окруженных плотными стенками, имеющими повышенную эхогенность. Вероятность образования абсцессов в поджелудочной железе зависит от степени некроза поджелудочной железы. Абсцессы обычно обнаруживаются через 4 нед после возникновения симптомов острого панкреатита. Дифференциальная диагностика абсцессов и инфицированных некрозов поджелудочной железы довольно сложна, но проводить ее необходимо, так как тактика лечения этих осложнений панкреатита совершенно разная.
5. Ложные аневризмы образуются в результате повреждения стенок артерий ферментами поджелудочной железы. Чаще всего возникают ложные аневризмы селезеночной артерии, несколько реже — ложные аневризмы желудочно-двенадцатиперст-ной и двенадцатиперстно-панкреатической артерий. Разрывы ложных аневризм влекут за собой массивные кровоизлияния в забрюшинное пространство, в брюшинную полость, в протоки поджелудочной железы, в ложные кисты поджелудочной железы или в кишку, что приводит к возникновению кровотечений из желудочно-кишечного тракта. Компьютерная томография является предпочтительным методом выявления ложных аневризм. Наличие структур, характеризующихся высокой рентгеноплотностью, внутри или вокруг ложной аневризмы указывает на возникновение острого тромбоза или кровотечения. Ультразвуковая цветная допплерография также является чувствительным методом обнаружения ложных аневризм и их осложнений, но качественное ее проведение возможно только при отсутствии газов в кишечнике.
6. Тромбоз селезеночной вены при проведении КТ определяется по снижению рент-геноплотности участка селезеночной вены. Цветная допплерография также может применяться для диагностирования тромбоза селезеночной вены. Тромбозы воротной и верхней брыжеечной вен, встречающиеся реже, также можно выявить с помощью перечисленных методов.

20. Каковы характерные признаки аденокарциномы протоков поджелудочной железы?

1. Увеличение размеров поджелудочной железы. Хотя увеличение поджелудочной железы может быть как фокальным, так и диффузным, чаще наблюдается фокальное увеличение. Диффузное увеличение поджелудочной железы, как правило, развивается вторично при панкреатите, вызванном злокачественной опухолью. Фокальное увеличение поджелудочной железы обычно выявляется в теле или хвосте поджелудочной железы.
2. Изменение контуров и формы поджелудочной железы. Рак поджелудочной железы может быть причиной возникновения очаговых выбуханий, а также неровностей на поверхности железы. Вовлечение в злокачественный процесс ацинарного аппарата поджелудочной железы также может быть причиной появления очаговых выбуханий. Увеличение размеров и деформация поджелудочной железы являются наиболее характерными признаками рака поджелудочной железы.
3. Различная рентгеноплотность или эхогенность. При ультразвуковом сканировании рак поджелудочной железы обычно имеет вид гипоэхогенного образования; однако он может выглядеть и как изоэхогенное образование. При проведении компьютерной томографии рак поджелудочной железы обычно характеризуется пониженной рентгеноплотностью по сравнению с рентгеноплотностью неизмененной ткани поджелудочной железы (это особенно хорошо видно при внутривенном введении контрастного вещества).
4. Расширение протока поджелудочной железы. Расширение протока поджелудочной железы может быть единственным признаком небольшой злокачественной опухоли, который можно выявить. Наиболее часто опухоли локализуются в головке поджелудочной железы.
5. Расширение желчных протоков. Желчные протоки наиболее часто расширяются при локализации опухоли в головке поджелудочной железы. Изолированное расширение внутрипеченочных желчных протоков может наблюдаться при раке поджелудочной железы, прорастающем в ворота печени.
6. Локальная инвазия опухоли. Прорастание опухоли в жировую клетчатку, окружающую поджелудочную железу, наблюдается наиболее часто. Однако также возможно прорастание опухоли в ворота печени, желудок, селезенку и близлежащие петли кишечника.
7. Увеличение регионарных лимфатических узлов. Рак поджелудочной железы может метастазировать в лимфатические узлы, расположенные в воротах печени, в па-рааортальной области, вокруг чревного ствола и верхней брыжеечной артерии.
8. Метастатическое поражение печени. В печени наиболее часто обнаруживаются метастазы рака поджелудочной железы. Эти метастазы характеризуются низкой рентгеноплотностью, могут быть единичными или множественными.

21. Какой метод предпочтительнее использовать для выявления и исследования рака поджелудочной железы?

Основными методами исследования пациентов с предполагаемым раком поджелудочной железы являются ультразвуковое сканирование и компьютерная томография. Возможно, компьютерная томография является предпочтительным методом, однако эффективность эхографического метода при выявлении рака поджелудочной железы ничуть не меньше. Компьютерную томографию целесообразно проводить для оценки степени прорастания опухоли в близлежащие ткани и поражения лимфатических узлов. Кроме того, компьютерная томография позволяет без каких-либо затруднений оценить состояние тела и хвоста поджелудочной железы, исследование которых с помощью ультразвукового сканирования представляет определенные сложности у 25 % пациентов из-за наличия газа в петлях кишки. У пациентов с признаками закупорки желчных протоков для первичного обследования могут применяться оба метода — и ультразвуковое сканирование, и компьютерная томография.

22. Какие виды кистозных опухолей поджелудочной железы встречаются наиболее часто?

Существуют серозные (микрокистозные) и муцинозные (макрокистозные) кистозные опухоли поджелудочной железы. Серозные опухоли чаще всего встречаются у женщин, в 82 % случаев они диагностируются у лиц страше 60 лет. Эти опухоли почти всегда являются доброкачественными и обычно локализуются в головке поджелудочной железы. Серозные опухоли кальцифицируются чаще (в 50 % случаев), чем любые другие опухоли поджелудочной железы. Типичным признаком серозных опухолей является наличие центрального звездчатого рубца, который часто обызвествляется. Обычно серозные опухоли состоят из множества мелких (менее 2 см в диаметре) кист. При ультразвуковом сканировании отдельные кисты могут не выявляться, поэтому опухоль часто выглядит гиперэхогенной. Гиперэхогенный центральный звездчатый рубец и зоны обызвествления могут выявляться при ультразвуковом сканировании или при проведении компьютерной томографии, что позволяет предположительно диагностировать серозные опухоли поджелудочной железы. На компьютерных томограммах кисты выглядят по-разному. Если опухоль состоит из большого количества мельчайших кист, она может выглядеть плотной; если же опухоль состоит из мелких, но все же различимых кист, она напоминает "пчелиные соты" или "швейцарский сыр". Мягкотканный компонент опухоли выявляется с помощью контрастной компьютерной томографии; структура поджелудочной железы может быть дольчатой. Муцинозные кистозные опухоли также встречаются в основном у женщин, но более молодого возраста. Наиболее часто эти опухоли локализуются в хвосте поджелудочной железы (в 85 % случаев), обызвествление их наблюдается в 30 % случаев. Мицинозные кистозные опухоли поджелудочной железы нередко озлокачествляются. Эти опухоли гораздо больше по размеру, чем серозные, их средний диаметр составляет 12 см. Они состоят из унилакунарных или мультилакунарных кист диаметром более 2 см. При ультразвуковом сканировании выявляются внутренние перегородки. Перегородок может быть много или мало, они могут быть тонкими или толстыми. Эти перегородки толще, чем перегородки в микрокистозных опухолях, они могут обызве-ствляться. Участки обызвествления, а также стенки опухоли наиболее четко визуализируются при проведении КТ, в то время как внутренние перегородки наиболее четко визуализируются при ультразвуковом сканировании. Дифференциальную диагностику следует проводить с папиллярными кистозными опухолями, кистозными опухолями островковых клеток поджелудочной железы, кистозными метастазами, ложными кистами, а также абсцессами поджелудочной железы.

23. По каким признакам можно отличить простой асцит от осложненного? Простой асцит представляет собой скопление жидкости (транссудата) в брюшной полости. Простой асцит обычно развивается вторично на фоне недостаточности основных жизненно важных органов, т. е. на фоне печеночной, почечной или сердечной недостаточности. Так как асцитическая жидкость представляет собой транссудат, ее рентгеноплотность близка к рентгеноплотности воды и варьируется от 0 до 20 HU. При увеличении концентрации белка в транссудате увеличивается и рентгеноплотность транссудата. При ультразвуковом сканировании простой асцит выглядит анэхогенным, внутренние эхо-генные включения и перегородки не визуализируются. При простом асците скопление жидкости в брюшной полости ничем не ограничено, жидкость свободно растекается и может затекать в любые отделы брюшной полости или малого таза. Жидкость часто скапливается в кармане Морисона (Morison), параободочных (боковых) карманах брюшной полости и в малом тазу. При скоплении большого количества жидкости тонкая кишка начинает плавать в ней, располагаясь обычно в центре брюшной полости. При простом асците четко визуализируются различные органы брюшной полости (см. рисунки А и В).
Осумкованный асцит представляет собой не просто скопление жидкости. Для осумкованного асцита характерно наличие спаек. Спайки могут образоваться вследствие хирургического вмешательства, но могут быть и признаком инфекционного или злокачественного процесса. Осумкованный асцит в типичных случаях не локализуется в карманах брюшной полости; скопления жидкости не смещаются при изменении положения тела пациента во время выполнения исследования и часто вызывают смещение близлежащих петель кишки. Наличие толстой или узловатой камеры при осумкованном асците может быть признаком инфекционного или злокачественного процесса.

074-14.jpg

Асцит. А и В. Картина простого асцита, полученная при ультразвуковом сканировании и при проведении компьютерной томографии. Скопления жидкости (стрелки) визуализируются в малом тазу, вблизи матки ("наконечник" стрелки)

Осложненный асцит обычно развивается вторично при присоединении инфекции, кровотечениях или злокачественном процессе. Признаками осложненного асцита являются более высокая, чем у воды, рентгеноплотность асцитической жидкости, наличие эхогенных образований (детрита), перегородок, скоплений газа, а также толстой или узловатой капсулы при ограниченном процессе (см. рисунки С и D). Обычно о наличии осложненного асцита речь заходит тогда, когда рентгеноплотность асцитической жидкости превышает 20 HTJ, что связано с довольно высокой концентрацией в ней белка. Далеко не всегда при осложненном асците выявляются описанные изменения, иногда он выглядит как простое скопление жидкости. Во многих случаях единственной возможностью провести дифференциальную диагностику между простым и осложненным асцитом является аспирация асцитической жидкости с последующим ее исследованием.

074-15.jpg

С. Внутрибрюшное кровотечение, которое выглядит как осложненный асцит. D. Внутрибрюшной абсцесс, который выглядит как осложненный асцит, видны многочисленные пузырьки газа

24. По каким признакам можно отдифференцировать скопление жидкости в брюшной полости от скопления жидкости в плевральной полости?

Как ультразвуковое сканирование, так и компьютерная томография позволяют без труда выявить наличие жидкости в брюшной или плевральной полостях. Если скопление жидкости выявляется с помощью ультразвукового сканирования, то после того как визуализируется диафрагма, дифференциальная диагностика асцита и плеврита не представляет сложности. При выполнении компьютерной томографии ориентируются на следующие дифференциально-диагностические признаки:
1. Асцитическая жидкость располагается спереди или латерально по отношению к ножкам диафрагмы, а жидкость в плевральной полости — позади или медиально по отношению к ножкам диафрагмы.
2. Плевральный выпот может распространяться медиально по направлению к ножкам диафрагмы и может выглядеть на снимках достигающим позвоночника или аорты.
3. При асците органы брюшной полости, например печень и селезенка, визуализи-руются четко.
4. Асцитическая жидкость не проникает в так называемую "полую" (не покрытую брюшиной) поверхность печени, находящуюся между левой и правой коронарными связками вдоль заднего края правой доли печени. Это пространство представляет собой складки брюшины, посредством которых печень "прикреплена" к диафрагме; перитонеальная жидкость не может проникать через коронарные связки и накапливаться в этом пространстве. Однако эта область соприкасается с диафрагмой, вследствие чего возможно проникновение в нее выпота из плевральной полости.

25. В каких случаях для исследования тонкой кишки применяется компьютерная томография?

Традиционные рентгенологические исследования с введением контрастных веществ являются предпочтительными при диагностике заболеваний тонкой кишки, связанных с обтурацией ее просвета или патологией слизистой оболочки. Однако компьютерная томография обеспечивает гораздо больше возможностей для исследования интрамуральных компонентов тонкой кишки, а также ее брыжейки, сальника, забрю-шинного пространства, брюшной полости и внутренних органов. Необходимыми условиями четкой визуализации являются соответствующая подготовка пациента и контрастирование кишки посредством перорального или внутривенного введения рентгеноконтрастных препаратов. При адекватном контрастировании кишки с помощью пероральных контрастных препаратов четко визуализируется стенка кишки, имеющая толщину приблизительно 2 мм.
Равномерное концентрическое утолщение стенок кишки на протяжении 7-11 мм является типичным признаком таких незлокачественных заболеваний, как болезнь Крона, ишемический энтерит, язвенный колит, инфекционный энтерит, радиационный энтерит, пурпура Шенлейна-Геноха, интрамуральные кровоизлияния, отек кишечной стенки, обусловленный портальной гипертензией. Выявление внекишечной патологии также является важной задачей. Например, болезнь Крона иногда сопровождается образованием внутрибрюшинных абсцессов, фиброзно-жировой пролиферацией, формированием свищей и воспалением брыжейки кишки (см. рисунок). Утолщение кожи и повышение рентгеноплотности брыжейки кишки и подкожной жировой клетчатки могут выявляться при радиационном энтерите. В этом случае очаги поражения локализуются в петлях кишки, расположенных в полости малого таза. Для тяжелых форм ишемического энтерита характерны наличие газа в воротной вене, интрамуральные кровоизлияния и наличие крови в брюшной полости. Эксцентричное неравномерное утолщение стенок кишки на протяжении более 2 см характерно для карциномы. Если наряду с этим признаком выявляется также значительное увеличение брыжеечных или забрюшинных лимфатических узлов, в первую очередь следует предположить наличие лимфомы. Если же у пациента обнаружены метастазы в печени, то, вероятнее всего, у него имеется аденокарцинома. Доброкачественные опухоли тонкой кишки, такие как нейрофибромы и лейомиомы, очень сложно дифференцировать от злокачественных опухолей. Исключением является липома, так как ее довольно легко распознать по низкой рентгеноплотности, которая составляет приблизительно от -90 до -120 HU. Карциноидные опухоли тонкой кишки обычно локализуются в нижнем левом квадранте брюшной полости. Для этих опухолей характерны наличие кальцификатов и десмопластическая реакция (фиброзное перерождение) окружающих тканей.
Инвагинацию тонкой кишки диагностировать довольно легко, так как инвагиниро-ванная часть брыжейки, характеризующаяся низкой рентгеноплотностью, располагается между слоями, имеющими высокую рентгеноплотность, которые представляют собой внутреннюю и наружную петли инвагината. Опухоль, которая является причиной инвагинации, удается визуализировать не всегда.

074-16.jpg

Утолщение стенок тонкой кишки, обусловленное их ишемией, у пациента с инфарктом кишки. Утолщение стенок выявляется как при продольном (незаштрихованная стрелка), так и при поперечном сечении (стрелки)

26. В каких случаях компьютерная томография используется для исследования толстой кишки?

Для четкой визуализации ободочной кишки необходимы хорошая подготовка кишки к исследованию и ее растяжение с помощью введения контрастного вещества или воздуха через прямую кишку. Только при соблюдении этих условий можно определить истинную толщину стенки кишки. В норме толщина стенки ободочной кишки в растянутом состоянии не превышает 3 мм. Показаниями к проведению растяжения толстой кишки являются необходимость уточнения стадии рака ободочной или прямой кишки, а также органов малого таза и необходимость подтверждения диагноза при воспалительных заболеваниях кишки, дивертикулите и аппендиците. Внутривенное введение контрастного вещества позволяет обследовать стенку кишки, паренхиматозные органы и кровеносные сосуды.
Дивертикулит сигмовидной и слепой кишки выявляется при проведении компьютерной томографии, поскольку в этих случаях патологические изменения имеют место в стенке кишки и в окружающих ее тканях, а просвет кишки остается свободным. Компьютерная томография также позволяет четко визуализировать осложнения ди-вертикулита, например абсцессы, и, в более тяжелых случаях, выявлять свищевые ходы. Провести дифференциальную диагностику между перфорацией сигмовидной кишки, произошедшей вследствие прорастания опухоли, и перфорацией, обусловленной разрывом дивертикула, очень сложно и часто даже невозможно на основании данных только компьютерной томографии. При выявлении либо чрезмерного (более 3 мм), либо неравномерного, эксцентрического утолщения стенки кишки следует предполагать наличие рака сигмовидной кишки.
Утолщение стенки кишки по всей окружности (см. рисунок А) является неспецифическим признаком, визуализирующимся при многих заболеваниях, включая болезнь Крона, ишемический колит, псевдомембранозный колит, радиационный колит, нейтропенический колит, инфекционный колит, связанный с инфицированием цитомегаловирусом или Campilobacter. При доброкачественном утолщении стенка кишки характеризуется такой же рентгеноплотностью, что и окружающие мягкие ткани, иногда визуализируются концентрические кольца, имеющие высокую и низкую рентге-ноплотность — так называемый симптом "двойного кольца" или мишени (см. рисунок В). Концентрические кольца появляются на томограммах в результате различного контрастирования слизистой и серозной оболочек (высокая рентгеноплотность) и отечного подслизистого слоя (низкая рентгеноплотность).

074-17.jpg

Толстая кишка. А. Утолщение стенок поперечной ободочной кишки (прямая стрелка) и нисходящей ободочной кишки (изогнутая стрелка), выявляемое при аксиальной визуализации нижних отделов брюшной полости, у пациента с псевдомембранозным колитом. В. Утолщение стенок нисходящей ободочной кишки (стрелка), симптом "двойного кольца" у пациента с болезнью Крона. Расширение внутрипеченочных желчных протоков связано с первичным склерозирующим холангитом. С. Утолщение стенок поперечной ободочной кишки (стрелка), выявляемое и при продольном и при поперечном сечении, у пациента с тяжелой формой панкреатита

Причину утолщения стенок кишки иногда можно установить на основании локализации этого утолщения и характера сопутствующих изменений. Например, окклюзия верхней брыжеечной артерии, как правило, сопровождается утолщением кишечной стенки в области селезеночного изгиба ободочной кишки. В этом случае можно предположить ишемию кишки. Распространение патологического процесса на ректосигмовидный отдел кишки и находящиеся в полости малого таза петли тонкой кишки характерно для радиационного поражения. Воспаление тканей, прилежащих к толстой кишке, способно вызвать утолщение стенки кишки, которое ошибочно можно принять за признак заболевания собственно ободочной кишки. Например, при перфорации червеобразного отростка увеличивается толщина стенок слепой кишки, а выраженный панкреатит вызывает утолщение стенок поперечной ободочной кишки в том случае, когда воспалительный процесс распространяется по брыжейке кишки.
Эксцентричное, неравномерное, дольчатое утолщение стенки кишки характерно для аденокарциномы. В некоторых случаях могут обнаруживаться полипообразные новообразования внутри просвета кишки. Если перфорации кишки не происходит, окружающая ее жировая клетчатка сохраняет гомогенную структуру и низкую рентгеноплотность, чего не бывает при ее воспалении. Компьютерная томография позволяет определить стадию развития опухоли по Дуке с точностью всего лишь 50 %, но при выявлении метастатического поражения регионарных лимфатических узлов, забрюшинных лимфатических узлов или печени диагноз "рак толстой кишки" окончательно подтверждается. Большие опухоли обычно выглядят гетерогенными, что связано с образованием внутренних зон некроза. Компьютерная томография незаменима при выявлении рецидивов рака толстой кишки в области наложения межкишечных анастомозов, так как патологические изменения возникают в первую очередь в серозной оболочке и незаметны при эндоскопическом исследовании.
Лимфома ободочной кишки выглядит несколько иначе, чем аденокарцинома; стенки кишки при лимфоме утолщаются в гораздо большей степени — до 4 см. Лимфома редко ограничивается только ободочной кишкой, как правило, поражаются также другие органы и ткани.

27. Какова оптимальная схема обследования пациентов с дивертикулитом?

Большинство врачей считает, что компьютерная томография является наиболее эффективным методом исследования, на основании результатов которого можно диагностировать дивертикулит. Обзорные снимки брюшной полости при диагностике дивертикулита малоинформативны. Ирригоскопия позволяет установить локализацию дивертикулов и выявить свищевые ходы, а также внекишечную патологию, связанную с вовлечением в воспалительный процесс близлежащих органов и тканей. Однако компьютерная томография является предпочтительным методом, поскольку позволяет более точно определять выраженность воспаления окружающих кишку тканей и с высокой степенью точности оценивать распространенность патологических изменений во внутрибрюшинной полости и в забрюшинном пространстве. Этот метод более чувствителен при выявлении абсцессов и свищевых ходов по сравнению с обычным рентгеноконтрастным исследованием.
Характерным признаком острого дивертикулита является воспаление жировой ткани, окружающей ободочную кишку. Рентгеноплотность этой ткани повышается. Это так называемый симптом "грязного жира" (см. рисунок). По мере нарастания воспалительных явлений может развиваться флегмона или формироваться абсцесс, имеющий на томограммах вид жидкостного образования. При этом могут быть видны пузырьки газа в жировой ткани или в полости абсцесса, а в случае перфорации кишки — в свободной брюшной полости. Обычно обнаруживаются дивертикулы и утолщение стенки ободочной кишки (более 4 мм), однако эти признаки неспецифичны и могут наблюдаться также при дивертикулезе. Утолщение кишечной стенки при дивертикулите бывает сложно отдифференцировать от рака ободочной кишки, однако резкий "обрыв" кишки более типичен для опухоли, тогда как воспаление околокишечной клетчатки характерно для дивертикулита.
Эффективность исследования ободочной кишки с помощью компьютерной томографии в значительной степени возрастает при произведении адекватного контрастиро-вания или растяжения кишки. Пациент принимает контрастное вещество или, если у пациента отсутствуют признаки перитонита, ему нагнетают воздух или водорастворимое контрастное вещество в прямую кишку.

074-18.jpg

Типичная компьютерная картина дивертикулита. Рентгеноплотность околокишечной жировой клетчатки повышена (короткие стрелки). Выявляется утолщение стенок нисходящей ободочной кишки (длинная стрелка)

28. Каковы признаки острого аппендицита, выявляемые при проведении компьютерной томографии и ультразвуковом сканировании?

Ультразвуковое сканирование. Ультразвуковыми признаками острого аппендицита являются растяжение или напряжение червеобразного отростка, наличие камней в просвете отростка, скопление жидкости в близлежащих тканях, внутрибрюшинное скопление жидкости и наличие гетероэхогенных очагов, характерных для флегмоны или абсцесса. В норме диаметр червеобразного отростка составляет 5-6 мм, увеличение диаметра отростка считается отклонением от нормы (см. рисунок). Компьютерная томография. Определяется растянутый червеобразный отросток с утолщенными стенками. Камни в просвете отростка выявляются в 25 % случаев. К признакам местного воспаления относятся повышение рентгеноплотности или "исчерченность" близлежащей жировой клетчатки, очаговое утолщение близлежащих фасций, очаговое скопление жидкости, наличие флегмон или абсцессов в окружающих отросток тканях.

074-19.jpg

Острый аппендицит. А. При ультразвуковом сканировании определяются утолщение стенок червеобразного отростка (стрелки) и эхогенные камни в просвете отростка. В. При проведении компьютерной томографии выявляются растянутый, заполненный жидкостью червеобразный отросток и обызвествленный камень в просвете отростка

29. Какой метод предпочтительнее использовать для диагностики острого аппендицита?

Чувствительность компьютерной томографии при диагностировании острого аппендицита составляет 96 %, что несколько выше чувствительности ультразвукового сканирования (85-90 %). Специфичность обоих методов приближается к 90 %. Компьютерная томография является методом выбора при визуализации неизмененного червеобразного отростка. Она также позволяет определять распространенность воспалительных изменений в близлежащих органах и тканях. Недостатками компьютерной томографии являются высокая стоимость исследования, необходимость использования ионизирующего излучения и внутривенного введения рентгеноконтра-стных препаратов. Ультразвуковое сканирование является методом выбора при обследовании детей, беременных и пациентов с небольшой массой тела. Компьютерную томографию следует использовать для обследования остальных групп пациентов; этот метод особенно эффективен при обследовании людей с большой массой тела.

30. Какова роль диагностических визуализирующих методов при диагностике внутрибрюшинных абсцессов?

Ультразвуковое сканирование. Если у пациента предполагается наличие внутрибрю-шинного абсцесса, ультразвуковое сканирование является методом выбора в тех случаях, когда больному трудно или невозможно подняться с постели. Этот метод предпочтительно использовать для выявления абсцессов, расположенных в малом тазу, нижнем правом и нижнем левом квадрантах брюшной полости, а также в тех областях, где желчный пузырь, печень и селезенка образуют "акустические окна", в которые может проникать ультразвук. Однако ультразвуковое сканирование центральных отделов брюшной полости часто бывает невыполнимо из-за переполнения кишки газом. Абсцессы могут выглядеть по-разному, но чаще всего они имеют вид гипоэхогенных, неправильной формы образований, имеющих внутри гиперэхогенные включения. Компьютерная томография. При выполнении КТ можно получить четкое изображение всей брюшной полости и малого таза при введении per os достаточного для контра-стирования кишки количества рентгеноконтрастного вещества. При этом наполненные жидкостью петли кишки можно принять за абсцессы; в некоторых случаях высокоинформативным диагностическим методом является введение контрастного вещества через прямую кишку. Абсцессы на компьютерных томограммах могут выглядеть по-разному в зависимости от давности их возникновения и степени созревания. На ранних стадиях абсцесс может иметь такую же рентгеноплотность, как и мягкие ткани. По мере созревания абсцесса и прогрессирования некротического расплавления тканей в центральной части абсцесса начинают появляться очаги, рентгеноплотность которых близка к рентгеноплотности воды. Возможно выявление в полости абсцесса пузырьков газа или уровней жидкости и газа (см. рисунок). Грануляционная ткань, выполняющая стенки абсцесса, обычно становится видна при внутривенном введении контрастного вещества. Эта ткань визуализируется в виде ободка, имеющего высокую рентгеноплотность. Могут выявляться участки инфильтрации и связанное с ними смещение близлежащих органов и тканей. Часто развивается воспаление окружающей жировой клетчатки, что сопровождается повышением ее рентгеноплотности.
Радиоизотопная сцинтиграфия. Радиоизотопное сканирование выполняется с использованием цитрата галлия-67 или лейкоцитов, меченных индием-111. Преимуществом радиоизотопной сцинтиграфии является то, что этот метод позволяет получить изображение всего организма и выявить воспалительный процесс даже в тех областях, где он не предполагался. Сцинтиграфия с введением галлия, требует 48-72-часовой экспозиции для оптимальной интерпретации результатов исследования. Сцинтиграфия с введением меченных индием-111 лейкоцитов требует меньше времени, но поглощение лейкоцитов тканями является неспецифичным процессом, поэтому очень сложно оценить состояние печени и селезенки, которые и в норме поглощают лейкоциты. Общие рекомендации. В целом компьютерная томография является методом выбора при выявлении абсцессов брюшной полости у остро заболевших пациентов. Ультразвуковое сканирование можно применять для первичного обследования пациентов при подозрении на наличие абсцессов в правом и левом нижних квадрантах брюшной полости или в малом тазу, а также при подозрении на наличие аппендикулярного абсцесса. Если заболевание началось не остро и отсутствуют местные симптомы, для первичного обследования целесообразно применять радиоизотопное сканирование.

074-20.jpg

Абсцесс брюшной полости. Визуализируются уровень жидкости (стрелка) и некротизированныеткани

31. Какие характерные признаки СПИДа могут быть выявлены при исследовании желчевыводящей системы?

При выполнении ультразвукового сканирования примерно у 20 % ВИЧ-инфицированных пациентов выявляются такие изменения желчного пузыря и желчных протоков, как утолщение стенок желчного пузыря, появление осадка в желчи, холелитиаз, расширение желчных протоков, утолщение стенок желчных протоков, скопление жидкости вокруг желчного пузыря и ультразвуковой симптом Мерфи. Наиболее часто выявляемым изменением является утолщение стенок желчного пузыря, которое, как правило, не дает симптомов и связано не с заболеваниями самого желчного пузыря, а с отеком тканей, возникающим при гепатите или вследствие гипоальбуминемии. Утолщение стенок желчного пузыря в сочетании с симптомом Мерфи позволяет предположить наличие у пациента бескаменного холецистита, возникающего на фоне инфекционного процесса, вызванного цитомегаловирусами или криптоспоридиями. Холангит у пациентов со СПИД ом также возникает вторично на фоне цитомегалови-русной или криптоспоридиальной инфекции. Ультразвуковое сканирование является наилучшим неинвазивным методом исследования внепеченочных желчных протоков. Эндоскопическая ретроградная холангиопанкреатография (ЭРХПГ) позволяет визуализировать всю систему желчных протоков более четко, чем какие-либо другие методы. При этом расширение желчных протоков, сужение большого сосочка двенадцатиперстной кишки, диффузные внутрипеченочные стриктуры, внепеченочные стриктуры и любые сочетания этих признаков холангита у больных СПИДом напоминают картину склерозирующего холангита, стеноза большого сосочка двенадцатиперстной кишки или обоих этих заболеваний. Пациентам со стенозом большого сосочка двенадцатиперстной кишки или изолированным внепеченочным поражением желчных протоков показана сфинктеротомия или установка стента в общем желчном протоке. Расширение желчных протоков может быть также вызвано их обструкцией увеличенными лимфатическими узлами, расположенными в воротах печени или в забрюшинном пространстве при саркоме Калоши или лимфоме. Не связанные со СПИДом заболевания, такие как желчнокаменная болезнь, холангиокарцинома или рак поджелудочной железы, также должны быть исключены при проведении полного клинического обследования.

32. Какие патологические изменения возникают в печени у больных СПИДом? 

Гепатомегалию обнаруживают примерно у 20 % ВИЧ-инфицированных пациентов. Гепатомегалия является неспецифической реакцией печени на инфекцию, гепатит, жировую инфильтрацию или неопластическую инфильтрацию при лимфоме или саркоме Калоши. Примерно у 10 % ВИЧ-инфицированных пациентов при ультразвуковом сканировании выявляется диффузное повышение эхогенности печени, что связано с жировой инфильтрацией (при жировом перерождении рентгеноплотность печени понижается) или гранулематозным поражением печени, вызванным Mycobacterium avium-intracellulare, M. tuberculosis, Cryptococcus, Histoplasma, цитомегаловирусом, Toxoplasma, или же связано с реакцией на сульфаниламиды. При присоединении инфекции в печени могут образовываться единичные или множественные абсцессы. При ультразвуковом сканировании абсцессы печени могут иметь вид гипо-, гипер- или ге-тероэхогенных образований, а на компьютерных томограммах они, как правило, выглядят как образования, имеющие низкую рентгеноплотность. При микроскопическом поражении печени можно выявить лишь незначительные изменения при проведении компьютерной томографии или ультразвуковом сканировании, поэтому единственным методом, позволяющим поставить точный диагноз, является биопсия печени с последующим морфологическим исследованием. Инфекционное поражение печени у ВИЧ-инфицированных пациентов обычно развивается вторично, на фоне уже диссе-минированной инфекции, поэтому в таких случаях необходимо искать и сопутствующую патологию, например холангит, лимфаденопатию, спленомегалию, асцит. Саркома Капоши — опухоль, которая наиболее часто развивается у ВИЧ-инфицированных пациентов; и все же эта опухоль редко диагностируется при жизни. Могут выявляться самые различные изменения, поскольку опухоль является мультифокальной. При ультразвуковом сканировании выявляются гепатомегалия и гиперэхогенные включения в паренхиме печени (часто прилежащие к портальной вене). При проведении компьютерной томографии с введением рентгеноконтрастных препаратов опухоль вначале имеет низкую рентгеноплотность, но с течением времени (через 4-7 мин) ее рентгеноплотность становится равной рентгеноплотности окружающей паренхимы или даже несколько меньшей. Саркома Капоши гораздо чаще проявляется в виде поражения забрюшинных лимфатических узлов, брыжеечных лимфатических узлов или лимфатических узлов средостения, чем в виде поражения печени. Лимфома у ВИЧ-инфицированных пациентов развивается гораздо чаще, чем у остальной части населения. Наиболее часто при лимфоме, помимо лимфатических узлов, поражаются печень и селезенка. И-при КТ, и при УЗИ можно обнаружить один или несколько патологических очагов во внутренних органах. При ультразвуковом сканировании эти очаги выглядят как гипоэхогенные образования, а на компьютерных томограммах определяется их низкая рентгеноплотность. Поражение внутренних органов может быть единственным проявлением заболевания, хотя для типичной лим-фомы характерно значительное увеличение лимфатических узлов забрюшинного пространства, брыжеечных лимфатических узлов и лимфатических узлов средостения.

33. Какие внепеченочные проявления поражения желудочно-кишечного тракта можно выявить у больных СПИДом?

У ВИЧ-инфицированных пациентов часто выявляется гепатоспленомегалия, а при проведении компьютерной томографии обнаруживается множество небольших (менее 5 мм в диаметре) брыжеечных и забрюшинных лимфатических узлов. Проктит проявляется утолщением стенки прямой кишки и повышением рентгеноплотности параректальной жировой клетчатки. У пациентов с прогрессирующими клиническими симптомами СПИДа развиваются оппортунистические (обусловленные внедрением условно-патогенных микроорганизмов) инфекции или оппортунистические опухоли, выявляемые при проведении компьютерной томографии или при ультразвуковом сканировании. Увеличение лимфатических узлов более характерно для СПИДа, чем для вирусного гепатита. Патологические очаги в паренхиматозных органах выявляются как при абсцессах, так и при опухолевой инфильтрации. Саркома Капоши локализуется в желудочно-кишечном тракте так же часто, как и в коже. При проведении рентгенологических исследований с использованием контрастных препаратов могут обнаруживаться узелки в под слизистом слое в любом отделе желудочно-кишечного тракта. По мере увеличения лимфатические узлы становятся различимыми при проведении компьютерной томографии. При обнаружении увеличенных внутристеночных лимфатических узлов кишки следует предположить наличие саркомы Капоши. Саркома Капоши обычно не сопровождается поражением лимфатических узлов, лишь иногда выявляется легкая форма аденопатии. При лимфоме же лимфатические узлы поражаются практически всегда.
У больных СПИДом лимфома обычно В-клеточного типа, растет достаточно активно, часто имеет внеузловую локализацию. Характерна множественная лимфаденопатия, но возможно и поражение изолированных лимфатических узлов. Патологические очаги в печени и селезенке характеризуются низкой ренттеноплот-ностью и выглядят гипоэхогенными при ультразвуковом сканировании. Утолщение стенки кишки может быть одним из проявлений поражения желудочно-кишечного тракта.
Оппортунистические инфекции достаточно разнообразны. Candida, вирус простого герпеса и цитомегаловирус могут вызывать эзофагит, выявляемый при проведении рентгеноконтрастного исследования. Цитомегаловирус может поражать любой отдел желудочно-кишечного тракта, но наиболее часто поражения локализуются в области слепой кишки. При проведении компьютерной томографии выявляется утолщение стенки кишки, при этом четко контрастируются слизистая и серозная оболочки. Mycobacterium tuberculosis может поражать подвздошно-слепокишечную область, в таких случаях при проведении компьютерной томографии выявляются утолщение стенок кишки и лимфатические узлы, имеющие низкую рентгеноплотность, в правом нижнем квадранте брюшной полости.
Mycobacterium avium intracellulare обычно поражает тонкую кишку. Многочисленные лимфатические узлы имеют низкую рентгеноплотность в центре, что связано с некротическим расплавлением. Поражение Cryptosporidium характеризуется скоплением значительного количества жидкости в тонкой кишке, что выявляется при проведении компьютерной томографии. Абсцессы, образование которых вызвано Pneumocystis carinii, обычно имеют вид множественных очагов, характеризующихся низкой рентгеноплотностью. Они локализуются в печени, селезенке, поджелудочной железе, почках и лимфатических узлах. Нередко при формировании абсцессов возникают очаги обызвествления.

Рекомендуем
© Все права защищены.